2026年02月24日
【患者様のご要望】
有病でも体に優しく、オペなども怖くない治療で治したい。


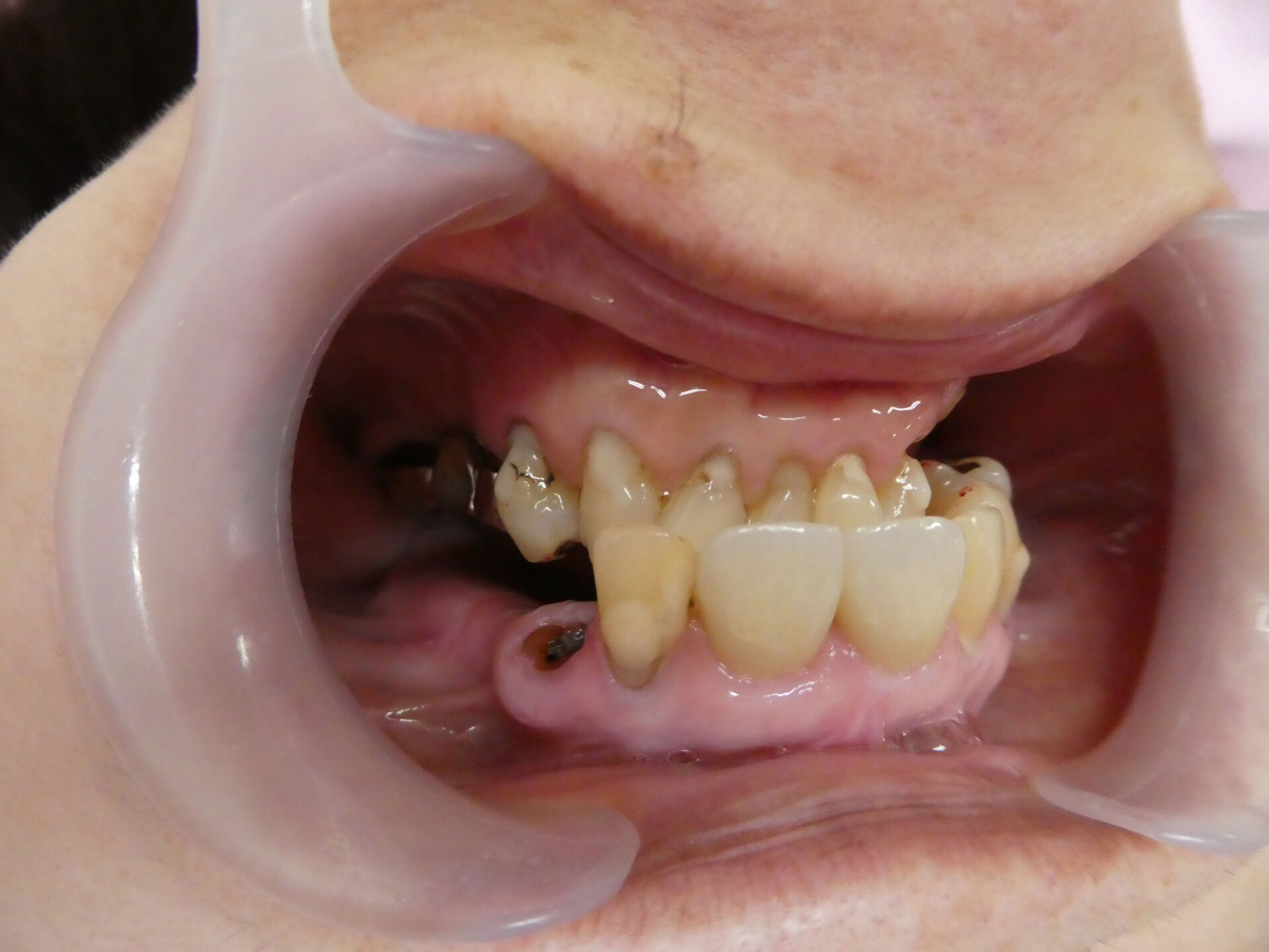
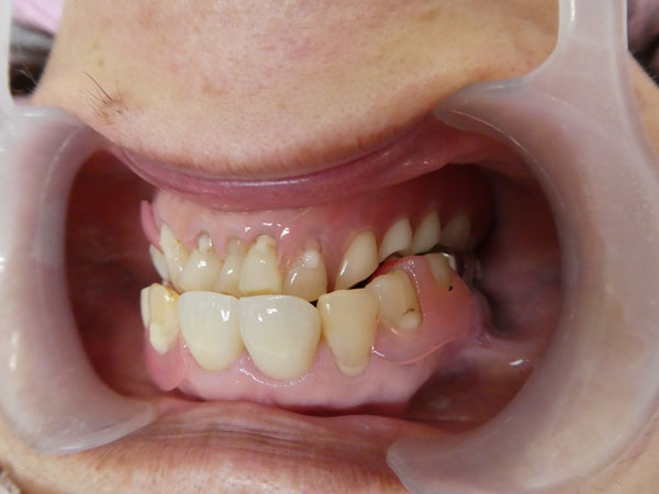
薄くて、美しさに優れた耐久性の高い部分用自費入れ歯です。
金属アレルギーの方も、オペなど「痛い・怖い」が嫌いな方も安心してお作りいただけます。
個人差はありますが、一般的に耐用年数約10年~16年となり、長期間美しいままご使用いただけます。
■このような方におすすめです
- 持病があり、インプラントなどの手術が不安な方
- 金属アレルギーがあり、従来の入れ歯が使えない方
- 入れ歯の金属バネが見えるのが気になる方
Before




After




治療期間
1~2週間ほどいただいております。
費用・料金(税込み)
1本17万円から50万です。
※技工物のみの値段です。診察料等他の費用がかかります。
リスク・副作用 (及び注意点)
- 技工発生後のキャンセル等はできません。
- セット後の形や色の変更等はできません。
- モデルサンプル模型以外の特別な形態、色等は、全てプラス別オプション料金となりますので、施術前に事前に具体的に必ずお伝えください。
- 歯周病が進まないよう、毎日の歯茎のケアや、定期的な歯石の除去を要します。
- 毎食後、歯磨きが必須。
- 医療費控除対象の治療ですが、保険が効かず、自費診療になります。(クレジットカード対応可)
※口腔内の状態により、適合感(噛み心地やフィット感)には個人差があります。
※治療した歯や、抜歯後は元に戻すことはできません