2026年03月24日
【患者様のご要望】
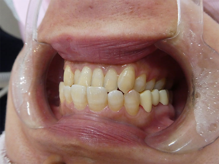
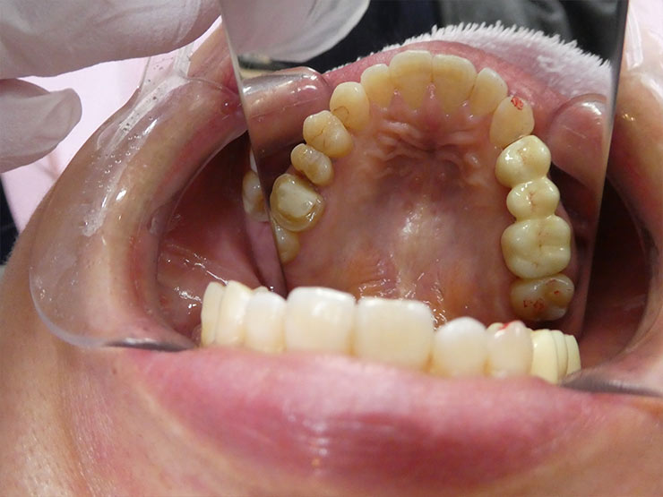
一本歯が抜けた後に自分の歯と遜色ない使い方ができて、見た目も白い歯でしっかり食事がしたい。


天然の歯に近い審美性があり、
「人工ダイヤモンド」とも称される高い強度が特徴ですが、ご自身の天然の歯が一番であることには変わりありません。
金属アレルギーの方も安心してご使用いただけます。
保険の歯に比べ、変色しにくいため、長期間美しい状態を維持しやすい素材です。
耐用年数の目安は約10年~16年です。
■このような方におすすめです
- 天然歯に近い噛み心地や白さを追求し、しっかり食事を楽しみたい方
- 金属アレルギーがあり、従来の補綴物が使えない方
- 審美性にこだわり、自然で明るい口元を求める方
Before

After




治療期間
1~2週間ほどいただいております。
費用・料金(税込み)
1本13万~20万円です。
※技工物のみの値段です。診察料等他の費用がかかります。
リスク・副作用 (及び注意点)
- 技工発生後のキャンセル等はできません。
- セット後の形や色の変更等はできません。
- モデルサンプル模型以外の特別な形態、色等は、全てプラス別オプション料金となりますので、施術前に事前に具体的に必ずお伝えください。
- 歯周病が進まないよう、毎日の歯茎のケアや、定期的な歯石の除去を要します。
- 毎食後、歯磨きが必須。
- 医療費控除対象の治療ですが、保険が効かず、自費診療になります。(クレジットカード対応可)
※口腔内の状態により、適合感(噛み心地やフィット感)には個人差があります。
※治療した歯や、抜歯後は元に戻すことはできません。